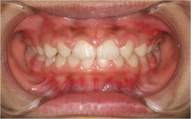
症例01:上顎前突
治療前
治療後
| 主訴 | 前歯が出てる、下の歯がガタガタで、内側に入っている歯が歯磨きしずらい |
|---|---|
| 治療期間 | 3年~3年半 |
| 治療費 | 装置代:990,000円(税込) 処置代:5,500円×来院回数分(税込) |
| 治療内容 | 表側矯正装置(上下 白) 抜歯矯正(上下左右 小臼歯抜歯) リテーナー |
| 治療のリスク | う蝕、歯根吸収、歯肉退縮、知覚過敏、口内炎 |
| 主訴 |
|---|
| 前歯が出てる、下の歯がガタガタで、内側に入っている歯が歯磨きしずらい |
| 治療期間 |
| 3年~3年半 |
| 治療費 |
| 装置代:990,000円(税込) 処置代:5,500円×来院回数分(税込) |
| 治療内容 |
| 表側矯正装置(上下 白) 抜歯矯正(上下左右 小臼歯抜歯) リテーナー |
| 治療のリスク |
| う蝕、歯根吸収、歯肉退縮、 知覚過敏、口内炎 |




お電話 