患者様満足度調査にご協力ください
当院では、少しでも患者様にとってより良い歯科医療を提供するため、第三者機関に依頼して患者様満足度調査を行っています。率直なご意見をいただき、改善すべき点は真摯に受け止めていきたいと思っております。当院には患者様の個人情報は一切伝えられませんので、是非、暖かいお言葉、おしかりのお言葉、たくさんお寄せください。
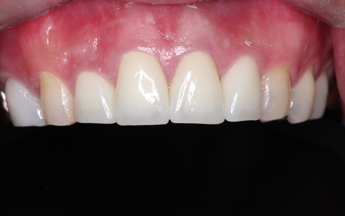
銀歯を美しく
白い歯へ
Dental_esthetic

セラミック治療は、見た目の美しさはもちろん、機能的にも優れ、身体にも優しい治療方法です。歯を白くするだけではなく、軽微な前歯部の歯並びを美しく整えることも可能です。
セラミックは陶器と同じ素材で作られており、通常の歯科治療で使用される金属やプラスチックなどの素材と比べ、審美性、機能性、耐久性などすべての面で優れています。
違和感のない白い歯に!

セラミック治療
の特徴
セラミック治療では、透明感のある、天然の歯のような色調を再現することができますので、全ての歯をただ白くするというだけでなく、ご自身の他の歯や、歯茎の色に合わせて、自然で美しい色に仕上げることができます。
また、セラミックは、保険診療で使われる材料よりも精度に優れ経年劣化が少なく、ご自身の歯との接着も良いため、セラミックと歯との隙間から虫歯が再発するというリスクを抑えられます。
他にも金属によるアレルギー症状が起こるリスクが少なく、金属が溶け出すことによる歯肉の変色なども防ぎます。
銀歯のデメリット
金属イオンが発生すると、金属表 面に細菌が強く付着しやすくなるので、天然歯より早期的に虫歯や歯周炎になりやすくなります。セラミック材料は、表面が滑沢なだけではなく、金属イオンが発生しないので、細菌が付着しにくいです。2次虫歯や歯周炎になりにくく、長持ちが期待できます。

銀歯やネックレスなどの金属に含まれる金属イオンが、汗や唾液で 溶け出し体内に入り込むことで、免疫システムが反応し、皮膚の炎症などを起こすのが金属アレルギーです。原因不明の皮膚炎などの原因は、銀歯かもしれません。
金属アレルギーを予防・改善するには、一切の金属を使わない「メタルフリー治療」がお勧めです。セラミック中心の治療で「見た目が気になるから白いものに替えたい」というご要望にお応えするだけでなく、金属アレルギーから身体を守ります。
大学病院にて金属アレルギーのパッチテストを受けることで、アレルギー反応を示す金属を細かく特定することも可能です。

つめ物、被せ物
の種類
※横にスクロールができます。
| 素材 | ジルコニア | e-max | ハイブリッド セラミックス |
ゴールド | 金属 |
|---|---|---|---|---|---|
![]() |
![]() |
![]() |
![]() |
![]() |
|
| 審美性 | ★★★★ | ★★★★ | ★★★☆ | ★★★☆ | ★☆☆☆ |
| 耐久性 | ★★★★ | ★★★☆ | ★★☆☆ | ★★★☆ | ★☆☆☆ |
| 安全性 | ★★★★ | ★★★★ | ★★★☆ | ★★★★ | ★★☆☆ |
| 特徴 | 歯先に透明感があり最も自然の歯に近い ・身体になじみやすい ・変色しない |
・天然色に近く透明感がある ・身体になじみやすい ・変色しない ・ジルコニアに比べると強度が劣る |
・比較的綺麗だが透明感は低い ・セラミックとプラスチックを合わせた素材であり、比較的安価 ・経年劣化による変色が生じる ・耐久性の関係で最後方臼歯には適応しない |
・身体になじみやすい ・歯を削る量が少なくて済む ・柔らかく伸びの良い金属のため歯との適合性が高く、虫歯や歯周病のリスクを減少させる |
・保険適用 ・金属アレルギーがあると使用できない |
| 税込価格 (1本) |
77,000円 | 66,000円 | 38,500円 | 110,000円〜 | 保険適用 |
※自費診療の保証期間は4か月毎の定期検診を受けた方のみ有効になります。
※横にスクロールができます。
| 素材 | ジルコニア セラミック |
e-max | フル ジルコニア |
ハイブリッド セラミック冠 |
硬質レジン 前装冠 |
CAD/CAM冠 | 金属冠 |
|---|---|---|---|---|---|---|---|
![]() |
![]() |
![]() |
![]() |
![]() |
![]() |
![]() |
|
| 適用部位 | 前歯/臼歯 | 前歯/臼歯 | 前歯/臼歯 | 前歯/臼歯 | 前歯 | 小臼歯 | 臼歯 |
| 審美性 | ★★★★ | ★★★★ | ★★★☆ | ★★☆☆ | ★☆☆☆ | ★★☆☆ | ★☆☆☆ |
| 耐久性 | ★★★★ | ★★★☆ | ★★★★ | ★★☆☆ | ★☆☆☆ | ★☆☆☆ | ★☆☆☆ |
| 安全性 | ★★★★ | ★★★★ | ★★★★ | ★★★☆ | ★★☆☆ | ★★☆☆ | ★★☆☆ |
| 特徴 | 内面:ジルコニア 表面:セラミック ・歯先に透明感があり最も自然の歯に近い ・身体になじみやすい ・変色しない |
・天然歯に近く透明感がある ・変色しない ・身体になじみやすい ・ジルコニアに比べると強度が劣る |
・身体になじみやすい ・変色しない ・人口のダイヤモンドなので強度に優れている |
内面:金属 表面:ハイブリッドセラミック ・透明感は少なめだが比較的綺麗 ・セラミックとプラスチックを合わせた素材であり、比較的安価 ・経年劣化による変色が生じる ・耐久性の関係で最後方臼歯には適応しない |
・保険適用 ・裏打ちが金属で見える所に ・プラスチックを貼り付ける ・吸収性がありプラークが付着しやすい ・変色し黄ばんでくる ・耐久性が良くない |
・保険適用 ・変色し黄ばんでくる ・強化プラスチックのため咬み合わせの強い方は割れやすい ※小臼歯とは前から4,5番目の歯を指します |
・保険適用 ・金属アレルギーがあると使用できない |
| 税込価格 (1本) |
143,000円 | 110,000円 | 104,500円 | 71,500円 | 保険適用 | 保険適用 | 保険適用 |
※自費診療の保証期間は4か月毎の定期検診を受けた方のみ有効になります。
保証期間と保証率
| 保証期間 | 保証率 |
|---|---|
| ~2年目 | 100% |
| 3年目 | 80% |
| 4年目 | 60% |
| 5年目 | 40% |
| 6年目 | 20% |
| 7年以降 | 0% |
4か月ごとの定期メンテナンスが上記保証の条件となりますが、当院が認めた場合(遠方の方等)は6か月ごとの定期メンテナンスが保証の条件となります。
保証期間中であっても、下記に該当する場合は一部または 全部は有料となりますのでご注意ください。
審美歯科の症例
症例1
| 主訴 | 銀歯が嫌なので白くしたい |
|---|---|
| 治療期間 | 2ヶ月 |
| 治療費 | 小臼歯:ジルコニアインレー 77,000円(税込) 大臼歯:ファイバーコア 22,000円(税込) フルジルコニアクラウン 104,500円(税込) |
| 治療内容 | 必要に応じて根管治療、歯周治療後 補綴治療 |
| 治療のリスク | 被せ物がしてある歯の内部は神経の処置がされてある場合がほとんどです。 施されている根管治療の状態によっては必要に応じて根管治療の再治療から行う場合があります。その場合は期間が延びる可能性があります。 |
| オプション | 技工士立ち合い |
|---|---|
| 治療期間 | 1日 |
| 治療費 | 11,000円(税込) |
| 治療内容 | 一眼レフの高精度カメラにて色合わせを行っております。 より鮮明な写真撮影を行うことで作り手にしっかりと情報をお渡しできます。 隣在歯との色の調和がとれた補綴物の作製が可能となります。 |
| 治療のリスク | 現在の状態よりも白くしたいなどの要望がある場合は事前にホワイトニングを行った後に被せものの作製するなどアドバイスも可能です! |
| 主訴 | 銀歯が嫌なので白くしたい |
|---|---|
| 治療期間 | 2ヶ月 |
| 治療費 | 小臼歯:ジルコニアインレー 77,000円(税込) 大臼歯:ファイバーコア 22,000円(税込) フルジルコニアクラウン 104,500円(税込) |
| 治療内容 | 左:セラミックス治療において当院では光学印象を採用しております。 嘔吐反射が強い患者様も安心して型どりができます♪ |
| 治療のリスク | 精査を行い、神経の処置が施されている場合は必要に応じて根管治療の再治療から行う場合があります。 |
症例2
| 主訴 | 長年放置してしまった奥歯をしっかり治したい |
|---|---|
| 治療期間 | 抜歯して被せ物が終了まで6~8カ月 |
| 治療内容 | 右下2本抜歯したことろに 右上親知らず抜歯して移植 2週間の安静期間後より根管治療 咬合力が発揮できる状態まで安定した後、 被せ物作製 |
| 治療のリスク | 抜歯窩の状態や移植歯の状態・咬合関係によっては早期脱落する可能性がある |
| 治療費 | 保険・自費選択ができます |
|---|---|
| 治療内容 | 右下第二大臼歯(前から数えて7番目)がボロボロで歯根部分が残っていて炎症を起こしている。 その後ろに親知らずの頭の一部分が出ていることが確認できる。 両方の歯を抜歯と同時に上顎親知らずの歯牙移植 |
| 治療のリスク | 移植歯の早期脱落、腫れ、痛み |
| 治療費 | ファイバーポストコア 22,000円(税込) PGAクラウン 165,000円(税込) |
|---|---|
| 補綴物の選択理由 | 下顎の骨隆起が発達しており咬合力が強いことが予測される。審美性ではセラミックスには劣りますがPGA合金は天然歯と硬さが近く科学的な安定感が高く適合精度も良いため移植後の補綴物として優れている。 |
| 治療のリスク | 抜歯窩の状態や移植歯の状態・咬合関係によっては早期脱落する可能性がある 金属アレルギー |
症例3
| 主訴 | 前歯をきれいにしたい |
|---|---|
| 治療期間 | 3ヶ月 |
| 治療費 | 前歯審美的仮歯 3,300円(税込)×4本 前歯4本フルジルコニアクラウン 104,500円(税込)×4本 |
| 治療内容 | 1. 旧前歯のかぶせ物の除去 2. 仮歯に置き換える 3. 歯周病治療 4. かぶせ物型どり 5. かぶせ物の装着 |
| 治療のリスク | 歯の状態によっては、別途根管治療や歯周病治療が必要になります。 |
症例4
| 主訴 | 下顎の銀歯をすべて白い被せ物に治したい |
|---|---|
| 治療期間 | 2ヶ月 |
| 治療費 | 440,000円(税込) |
| 治療内容 | 両側一番奥歯2本→ フルジルコニアクラウン 104,500円(税込)×2本 部分的な銀歯3本→ジルコニアインレー 77,000円(税込)×3本 |
| 治療のリスク | 知覚過敏 歯周治療・根管治療の必要のありなしで治療期間に幅があります。 |
症例5
| 主訴 | ずっと放置してしまった左側奥歯を噛めるようにしてほしい |
|---|---|
| 治療期間 | 1年 |
| 治療費 | 歯周外科 320,000円(税込) 審美的仮歯代 44,000円(税込) 被せ物代 836,000円(税込) |
| 治療内容 | 根管治療から支台築造まで行った後歯周外科(APF・クラウンレングスリング) 歯肉が治癒する半年間は仮歯で経過観察を行う。 その後最終的な被せ物作製する。 |
| 治療のリスク | 知覚過敏 歯周外科後の治癒期間に時間がかかる。 仮歯の破損、脱離 |
| 治療内容 | 長年放置されていたことにより、歯の移動によりスペースが不足してしまい一番奥の歯は被せることが厳しいため歯周外科処置を行うことでスペースを確保して被せ物で噛み合わせの再構成を行いました。 |
|---|---|
| 治療のリスク | 残存歯の状況によっては抜歯となる場合があります。治療期間は最低でも1年はかかります。 |
症例6
| 主訴 | 前歯の変色が気になってて治したい |
|---|---|
| 治療期間 | 2ヶ月 |
| 治療費 | 審美的仮歯 3,300円(税込) ファイバーコア 16,500円(税込) フルジルコニアクラウン 104,500円(税込) |
| 治療内容 | 根管治療 ファイバーポストコア 補綴修復処置 |
| 治療のリスク | 根管の状態によっては再根管治療期間の延長/根管の亀裂/破折 精密根管治療を提案する場合があります。 |
フォレスト歯科・矯正歯科
北千住マルイ
Forest Dental Clinic
当院は予約制となっております。急患の方の受け入れも行っております。お電話でお問い合わせください。
[お問合せ・ご予約]
Tel :
| 午前 | 午後 | |
|---|---|---|
| 月~金 | 10:00~14:00 | 15:30~19:30 |
| 土・日 | 10:00~18:30 | |
※祝日は休診となります。
※土曜・日曜の昼休診はございません。
※受付は診察終了時間の30分前までとなります。
※月初めには忘れずに保険証をお持ちください。
当院では、少しでも患者様にとってより良い歯科医療を提供するため、第三者機関に依頼して患者様満足度調査を行っています。率直なご意見をいただき、改善すべき点は真摯に受け止めていきたいと思っております。当院には患者様の個人情報は一切伝えられませんので、是非、暖かいお言葉、おしかりのお言葉、たくさんお寄せください。
〒120-8501 東京都足立区千住3-92 北千住マルイ3階 JR北千住駅西口徒歩3分
