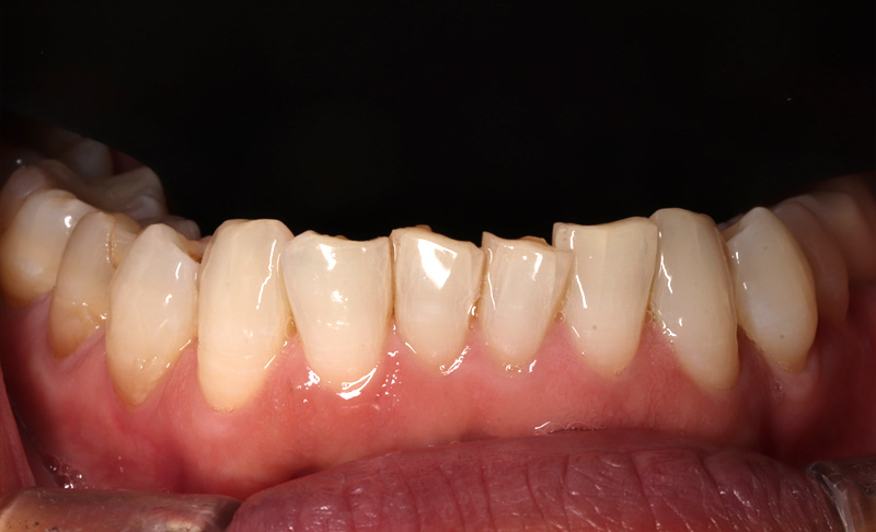
治療前
治療後
| 主旨 | 歯の色味の改善 |
|---|---|
| 治療回数 | 2回 |
| 治療費 | 下顎前歯6本 88,000円/歯 = 528,000円(税込) ※6歯〜が対象となります。 |
| 治療内容 | 1回目:スキャン 2回目:ラブリエ装着 |
| 治療のリスク | 噛み合わせの調整が必要な場合あります。 |
| 主旨 |
|---|
| 歯の色味の改善 |
| 治療回数 |
| 2回 |
| 治療費 |
| 下顎前歯6本 88,000円/歯 = 528,000円(税込) ※6歯〜が対象となります。 |
| 治療内容 |
| 1回目:スキャン 2回目:ラブリエ装着 |
| 治療のリスク |
| 噛み合わせの調整が 必要な場合あります。 |





お電話 