• Tel :

    10:00~14:00/15:30~19:30
    (土曜・日曜10:00~18:30)
    【祝日休診】

  • ご予約

    ご予約

  • アクセス

    アクセス

ホワイトニング症例

フォレスト歯科・矯正歯科 北千住マルイの診療について

ホワイトニング症例

Whitening Case

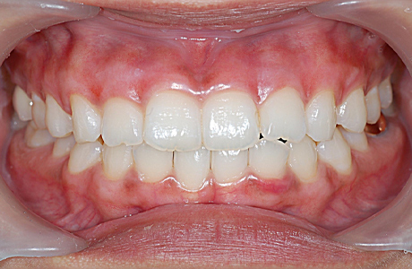
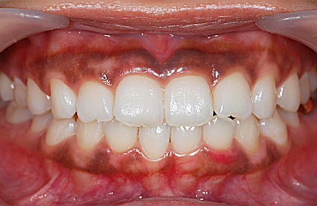
症例① ガムピーリング

治療前の写真

ガムピーリング

治療後の写真

ガムピーリング
主訴 歯肉の黒ずみをきれいにしたい
治療期間 2週間
治療費 上顎/下顎 各一回 11,000円(税込)
計22,000円(税込)
治療内容 お薬を歯肉に塗って歯肉のメラニン色素を除去します。
治療のリスク 数日間歯肉にヒリヒリ感を感じることがあります。
フォレスト歯科・矯正歯科 北千住マルイまでのアクセス

フォレスト歯科・矯正歯科
北千住マルイ

Forest Dental Clinic

ご予約について

当院は予約制となっております。急患の方の受け入れも行っております。お電話でお問い合わせください。

[お問合せ・ご予約]
 Tel :

診療時間
  午前 午後
月~金10:00~14:0015:30~19:30
土・日10:00~18:30

※祝日は休診となります。
※土曜・日曜の昼休診はございません。
※受付は診察終了時間の30分前までとなります。
※月初めには忘れずに保険証をお持ちください。

患者様満足度調査にご協力ください

当院では、少しでも患者様にとってより良い歯科医療を提供するため、第三者機関に依頼して患者様満足度調査を行っています。率直なご意見をいただき、改善すべき点は真摯に受け止めていきたいと思っております。当院には患者様の個人情報は一切伝えられませんので、是非、暖かいお言葉、おしかりのお言葉、たくさんお寄せください。

アクセス

〒120-8501 東京都足立区千住3-92 北千住マルイ3階 JR北千住駅西口徒歩3分

googlemap
北千住マルイ3階フロアマップ 3階フロアマップ

のトップへ戻る